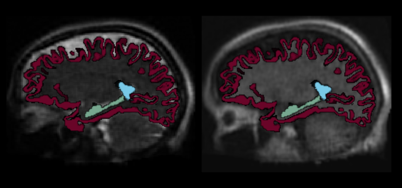
This project aims to develop AI methods to improve the image quality of ultra-low-field MRI to enhance the mobility, accessibility, and efficiency of MRI in clinical radiology and neuroscientific research.